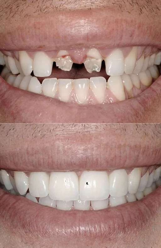
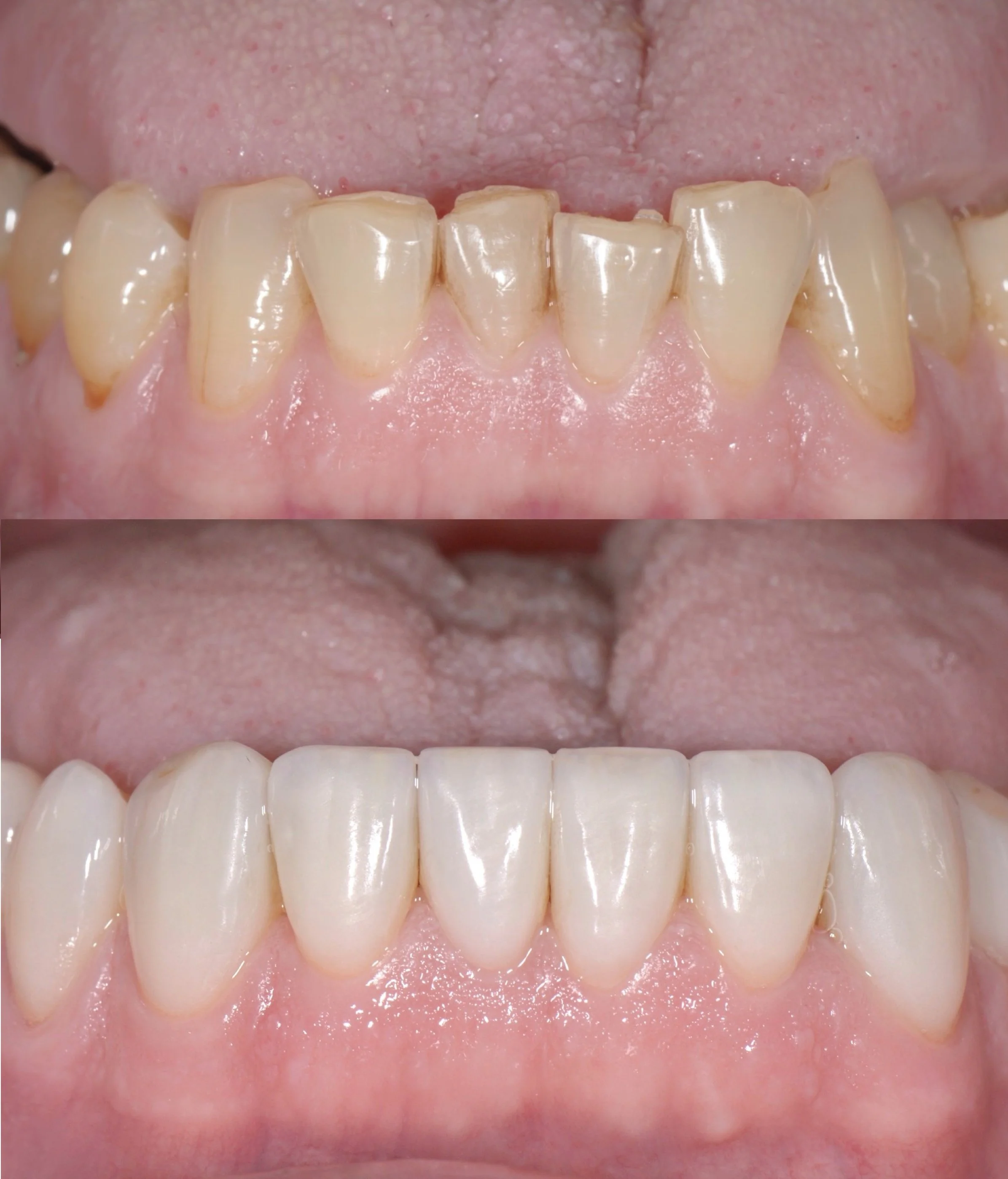
Dr. Vagadia has dedicated himself to being the very best clinician, attending the most prestigious courses in modern dentistry.